Bactéria comum na boca pode ajudar a prever evolução do câncer de cabeça e pescoço, aponta estudo
Ao analisar amostras de pacientes, pesquisadores do Hospital de Amor identificaram a espécie Fusobacterium nucleatum em quase 60% dos casos, com maior prevalência em tumores de orofaringe
Por décadas, os cuidados com a saúde bucal foram associados principalmente à prevenção de cáries e doenças gengivais. No entanto, a ciência tem tornado cada vez mais evidente a importância do microbioma oral – um conjunto de microrganismos que habitam naturalmente a cavidade bucal. Estudos recentes têm demonstrado ligações entre desequilíbrios nesse ecossistema microbiano e o desenvolvimento de cânceres de cabeça e pescoço, além de associações cada vez mais sólidas com o câncer colorretal.
Entre as espécies microbianas que mais têm chamado a atenção da comunidade científica está a Fusobacterium nucleatum, uma bactéria normalmente encontrada em baixos níveis na flora bucal de indivíduos saudáveis. Sua proliferação descontrolada, no entanto, tem sido associada a doenças inflamatórias (como periodontite e outros problemas da cavidade bucal) e, mais recentemente, ao aumento do risco de desenvolver tumores malignos em outras partes do corpo.
A associação da F. nucleatum com tumores despertou, há alguns anos, o interesse de pesquisadores do Hospital de Amor (antigo Hospital de Câncer de Barretos), que iniciaram estudos sobre o papel do microrganismo no câncer colorretal. Mais recentemente, com apoio da FAPESP e de outras agências de fomento, o grupo expandiu as investigações para entender sua possível atuação nos tumores de cabeça e pescoço. Descobriu que, nesses casos, a presença da bactéria está associada a melhor prognóstico e maior sobrevida. Os resultados foram publicados no Journal of Oral Microbiology.
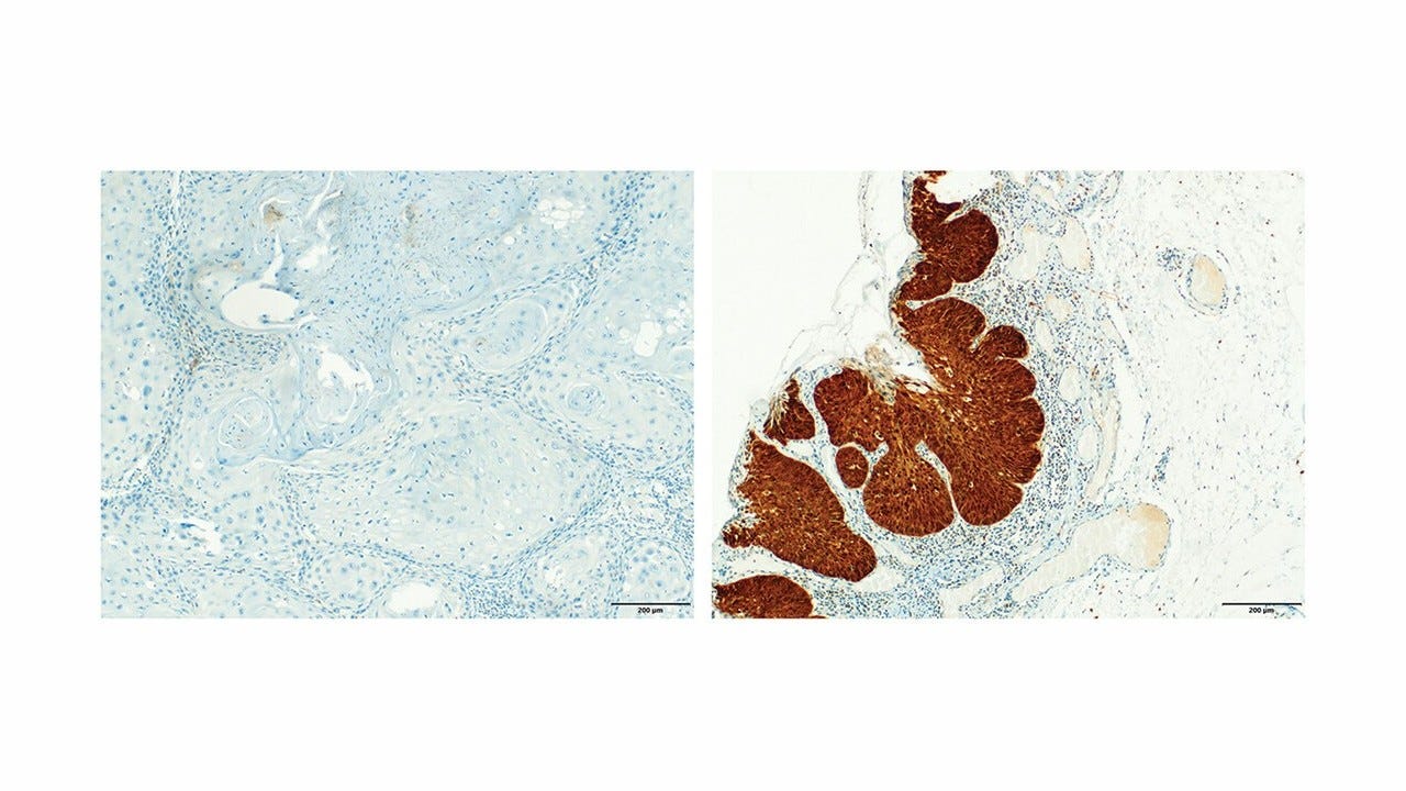
Liderado pelo pesquisador Rui Manuel Reis, diretor científico do Instituto de Ensino e Pesquisa do Hospital de Amor, o estudo utilizou uma metodologia ultrassensível (o PCR digital) para detectar a presença da F. nucleatum no tecido tumoral. Para isso, os pesquisadores analisaram 94 amostras de pacientes com diferentes tipos de câncer de cabeça e pescoço tratados na instituição.
“Realizamos a análise intratumoral a partir de material de arquivo parafinado [conservado em parafina], que foi usado originalmente para diagnóstico desses pacientes”, explica Reis. “Com as metodologias mais tradicionais, seria difícil identificar a presença dessa bactéria com a mesma precisão em material degradado, como o de parafina. No entanto, a técnica de PCR ultrassensível oferece uma alta confiabilidade e sensibilidade – até mesmo traços mínimos de DNA bacteriano podem ser detectados”, destaca.
O diferencial, segundo o pesquisador, foi detectar a bactéria dentro das células tumorais, um achado surpreendente. “Se analisarmos a saliva de uma pessoa, é provável que encontremos essa bactéria, já que ela está normalmente presente na cavidade bucal e compõe o biofilme dental. O que não se esperava, porém, é que ela estivesse localizada dentro do microambiente tumoral”, ressalta Reis.
Melhor prognóstico
Ao longo de aproximadamente cinco anos, os pesquisadores acompanharam os dados clínicos dos pacientes e constataram que a presença da F. nucleatum nos tumores estava associada a um prognóstico mais favorável. Ela foi identificada em 59,6% dos casos, com maior prevalência em tumores de orofaringe (62,1%) do que de cavidade oral (53,6%).
Pacientes cujos tumores apresentavam a bactéria tiveram sobrevida média de 60 meses, enquanto os demais viveram, em média, 36 meses – uma diferença significativa. “Não esperávamos esse resultado, pois, em outros tipos de câncer, como o colorretal, a presença da bactéria costuma estar associada a maior agressividade e menor sobrevida”, comenta Reis.
Apesar do achado promissor, os pesquisadores ainda não compreendem completamente o motivo dessa associação positiva entre a presença da F. nucleatum e o melhor prognóstico nos casos de câncer de cabeça e pescoço. Uma das hipóteses é que a bactéria atue na regulação de fatores imunológicos, potencializando a resposta do sistema imune e, assim, tornando o tumor menos agressivo. “Ainda não temos essa resposta, mas vamos aprofundar as investigações. Esse será o próximo passo”, diz o pesquisador.
Outra linha de estudo buscará entender se a presença da F. nucleatum nos tumores pode influenciar a resposta às terapias, o que abriria caminho para abordagens mais personalizadas no tratamento desses pacientes. Se confirmada, a bactéria poderá se tornar um importante biomarcador para o prognóstico do câncer de cabeça e pescoço.
“Mostramos que mesmo usando material antigo e em pequenas quantidades conseguimos detectar essa bactéria. Ou seja, se no futuro ela for validada como biomarcador, já temos uma técnica eficaz para identificá-la no tecido tumoral”, destaca Reis.
Uma possível oncobactéria?
Na avaliação de Reis, a análise do microbioma oral torna-se cada vez mais essencial na compreensão da oncologia moderna. “Mais do que apresentar um resultado definitivo, este é um estudo pioneiro, que chama a atenção para a relevância dessa bactéria no contexto tumoral, e não apenas em doenças bucais”, afirmou Reis.
Este é apenas o começo de uma nova linha de investigação. “Essa bactéria está emergindo como uma importante moduladora no contexto do câncer e pode consolidar o uso do termo ‘oncobactéria’”, afirma. “Se for comprovado que ela participa da origem do câncer, antibióticos poderão até ser considerados como terapia complementar à quimioterapia e à radioterapia.”
Pesquisas futuras poderão revelar se a presença da F. nucleatum está relacionada a diferentes respostas ao tratamento, abrindo caminho para estratégias mais personalizadas. A partir desse conhecimento, será possível identificar com mais precisão quais terapias são potencialmente mais eficazes para cada tipo de câncer, com base na presença ou ausência da bactéria.
A doença no Brasil
O câncer de cabeça e pescoço engloba uma série de tumores malignos que podem aparecer na boca, orofaringe, laringe, nariz, seios nasais, nasofaringe, órbita ocular, pescoço e tireoide. De acordo com o Instituto Nacional de Câncer (Inca), os principais fatores de risco são tabagismo, etilismo e infecção pelo vírus HPV, má higiene bucal e a desnutrição.
Dados do Inca apontam que aproximadamente 80% dos casos diagnosticados no Brasil entre 2000 e 2017 foram identificados em estágios avançados, o que reduz significativamente as chances de sucesso no tratamento. Esses números reforçam a importância de estratégias para o diagnóstico precoce e o desenvolvimento de novas ferramentas prognósticas, como as apontadas neste estudo.
O artigo Intratumoral Fusobacterium nucleatum is associated with better cancer-specific survival in head and neck cancer patients pode ser lido em: www.tandfonline.com/doi/full/10.1080/20002297.2025.2487644#abstract.
Fernanda Bassette | Agência FAPESP




